endodontia guiada
A Endodontia Guiada revoluciona o tratamento de canal com precisão e segurança.
A Endodontia Guiada revoluciona o tratamento de canal com precisão e segurança.
Com o avanço da tecnologia digital, a Endodontia Guiada permite que os tratamentos de canal sejam planejados e executados de maneira muito mais precisa, minimizando os riscos e melhorando os resultados. Por meio de um planejamento digital detalhado e guias cirúrgicos personalizados, o cirurgião tem controle total sobre o procedimento, assegurando que o tratamento endodôntico seja realizado com eficiência e previsibilidade.
Por que optar pela Endodontia Guiada?
Planejamento preciso
Através de softwares avançados como NemoScan e Implant Studio 3 Shape, o procedimento é planejado em detalhes, garantindo a exatidão necessária para acessar o canal radicular.
Menor invasividade
A Endodontia Guiada permite intervenções mais precisas, resultando em menos trauma para o paciente e um pós-operatório mais confortável.
O uso de guias personalizados garante maior controle durante o procedimento, minimizando o risco de perfurações e erros durante o tratamento.
Segurança e controle
Ferramentas avançadas
A aquisição de uma broca específica para o procedimento assegura que a execução seja feita com o máximo de precisão.
Dr. Lucas Vulcano
O Dr. Lucas Vulcano é um especialista em Odontologia Digital, atualmente Mestrando na área. Com uma sólida formação em Radiologia, Ortodontia e Implantodontia, ele se destaca por integrar as mais modernas tecnologias digitais aos seus tratamentos. À frente da Planning Soluções Digitais, ele oferece consultorias especializadas em softwares de planejamento odontológico, como Implant Studio, Exoplan, e outros, otimizando procedimentos e elevando o padrão de qualidade na prática clínica. Sua expertise garante resultados precisos e personalizados para cada paciente.
Oral Planning


Como funciona a Endodontia Guiada?
Tomografia Computadorizada (DICOM) e Escaneamento Intraoral (STL)
São coletados dados tridimensionais precisos da anatomia dentária do paciente, permitindo que o profissional visualize com clareza a estrutura interna dos dentes.
Planejamento Digital
Utilizando softwares como NemoScan e Implant Studio 3 Shape, o tratamento é planejado digitalmente, identificando o caminho exato para acessar o canal radicular.
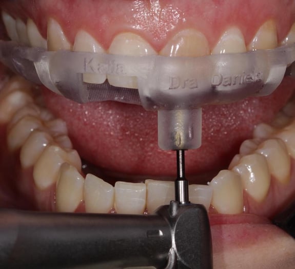
Impressão da Guia Cirúrgica com Anilhas
Com base no planejamento, é confeccionada uma guia personalizada que orienta a broca durante o procedimento, garantindo a precisão necessária para o sucesso do tratamento endodôntico.
Execução do Procedimento
Com a guia personalizada e a broca específica, o profissional realiza o procedimento com segurança, minimizando o risco de complicações e garantindo que o tratamento seja conduzido de acordo com o plano.
Valores
Valores de Cirurgia Guiada Periondontal


Impressão da guia com anilhas
R$ 200,00
Broca específica para o procedimento
(Consultar)
Planejamento
R$ 250,00
Exames Necessários:
Tomografia Computadorizada (DICOM)
Escaneamento Intraoral (STL)
Soluções
Facilitando o dia a dia do dentista.
Serviços
Contato
© 2024. Todos os direitos reservados Planning Soluções Digitais - Feito por: José Ricardo Santana